临床执业医师

考试动态
复习指导

​临床执业医师实践技能模考试卷第一套——辅助检查第3题(影像诊断)

关于“2021年临床执业医师实践技能模考试卷第一套——辅助检查第3题(影像诊断)”的内容,相信很多考生都在关注,医学教育网编辑为大家整理如下:

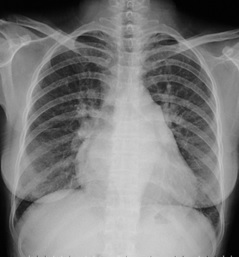
试题:根据下图请做出正确诊断

影像诊断

A.正常心脏

B.心肌病(普大心)

C.风湿性心脏病(梨型心)

D.主动脉型心(靴型心)

影像题

实践技能模考系统

完整版的试题进入技能模考系统去做题

编辑推荐:

全国2021年临床执业技能方案发布 4大变化 考试会更难吗?

全国21年临床执业医师实践技能病例分析诊断公式+历年考试还原考点练习题

全国2021年临床执业医师考生必看,历年各知识点考试还原考点练习题精选(一)

2021年实践技能考试考官评分手册——第一站病史采集和病例分析26大试题汇总!

以上关于“2021年临床执业医师实践技能模考试卷第一套——辅助检查第3题(影像诊断)”的文章由医学教育网编辑整理搜集,更多的文章随时关注医学教育网!

正保医学教育网
上医学教育网 做成功医学人
打开APP
全部评论(0打开APP查看全部 >
精品课程

高效定制班

直播+录播 含班级服务

4180

详情>>
热点推荐:
0
0
0
评论
取消
复制链接,粘贴给您的好友

复制链接,在微信、QQ等聊天窗口即可将此信息分享给朋友
前往医学教育网APP查看,体验更佳!
取消 前往
您有一次专属抽奖机会
可优惠~
领取
优惠
注:具体优惠金额根据商品价格进行计算
恭喜您获得张优惠券!
去选课
已存入账户 可在【我的优惠券】中查看