临床助理医师

考试动态
复习指导

影像诊断-2024临床助理医师实践技能第一站得分点模拟练习

2024临床助理医师实践技能考试冲刺倒计时,各位考生一定要抓住技能考试改革前的考试机会!正保医学教育网帮考生整理了2024临床助理医师实践技能实操<影像诊断>口述要领快来一起考前提分

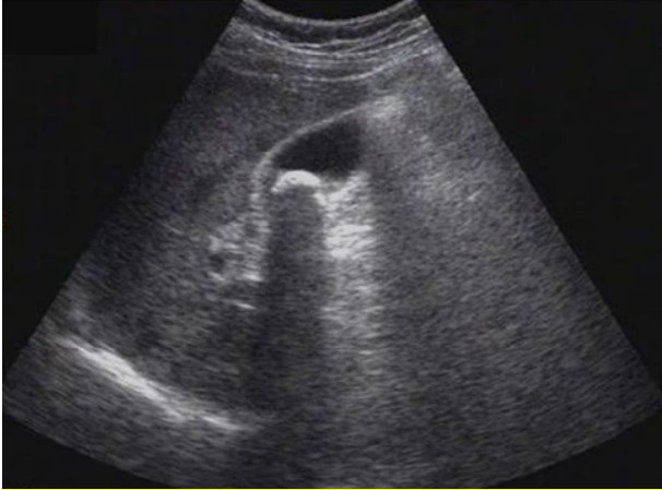
影像诊断

试题:患者女性,50岁,间断上腹隐痛半年,诊断为(2分)

A.肝癌        

B.肝硬化          

C.胆囊结石

D.肾结石      

影响鉴别

【答案】C

声明:本文为正保医学教育网原创整理,转载请注明来源正保医学教育网

2024临床助理医师实践技能考试不仅考察学员的理论知识掌握,更重要的是实际动手操作演练。各位考生一定要打好理论基础,这样才能在实际考试中做到心中不慌。医学教育网推荐大家《技能特色班》,技能三站考点详细解读,配合实操技巧讲解,让你从理论+实操双重解决技能备考难题。

技能特色班

相关推荐:

【冲刺包】2024临床助理医师技能冲刺加速包:干货|技巧|考情速递

【汇总】2024年临床助理医师实践技能准考证打印时间|要求

【必刷】2024临床助理医师实践技能「实操训练」26套卷

【速领】2024临床助理医师实践技能《考前终极预测资料包》,一分不少考场见!

正保医学教育网
上医学教育网 做成功医学人
打开APP
全部评论(0打开APP查看全部 >
精品课程

临床助理医师-高效定制班

直播+录播 含班级服务

4180

查看详情
热点推荐:
0
0
0
评论
取消
复制链接,粘贴给您的好友

复制链接,在微信、QQ等聊天窗口即可将此信息分享给朋友
前往医学教育网APP查看,体验更佳!
取消 前往
您有一次专属抽奖机会
可优惠~
领取
优惠
注:具体优惠金额根据商品价格进行计算
恭喜您获得张优惠券!
去选课
已存入账户 可在【我的优惠券】中查看