临床执业助理医师实践技能第一考站【X线-肺癌】考点模拟题!为帮助大家更好地进行2022年临床助理医师实践技能复习,医学教育网编辑整理分享相关内容如下:
【汇总】2022年临床执业助理医师实践技能3站考试模拟试卷二(全)
第一考站:临床思维能力
(1)考试内容:临床思维能力。
(2)考试方法:试题计算机呈现,考生计算机作答或纸笔作答
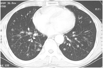
02卷-3.男性,55岁,结肠癌术后2年。(本题满分2.00分)

A.大叶性肺炎
B.浸润性肺结核
C.原发性肺癌
D.肺转移癌
本题答案:D
题目解析:
【该题针对“ X线-肺癌 ”知识点进行考核】
本次临床助理医师技能模考系统提供5套模考试卷,按照3站设置题型,严格按照考试题型及出题方式、题量设置,全真模拟考试场景,帮助大家熟悉考试题型及出题方式,分值占比。查看详情>

〖医学教育网版权所有,转载务必注明出处,违者将追究法律责任〗
以上为“临床执业助理医师实践技能第一考站【X线-肺癌】考点模拟题”全部内容,由医学教育网小编整理,更多信息请随时关注医学教育网。