外科主治医师考试

考试动态
复习指导
互动交流

前臂双骨折分类-外科主治医师备考笔记

前臂双骨折分类是外科主治医师考试经常考到的知识点,医学教育网小编搜集整理前臂双骨折分类的知识点,希望可以帮助各位考生备考复习,总结如下。

前臂双骨折分类

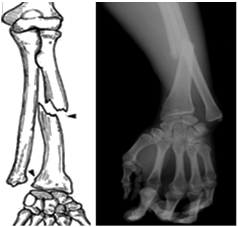
孟氏(Monteggia)骨折尺骨上1/3骨干骨折合并桡骨小头脱位

孟氏(Monteggia)骨折

盖氏(Galeazzi)骨折桡骨干下1/3骨折合并尺骨小头脱位

盖氏(Galeazzi)骨折

以上就是“前臂双骨折分类-外科主治医师备考笔记”的所有内容了,更多考试资料、报考资讯随时关注医学教育网!

推荐阅读:

【考点汇总】外科主治医师考试:骨折考点小结

【考点汇总】外科主治医师考点归纳: 腹腔镜外科

正保医学教育网
上医学教育网 做成功医学人
打开APP
全部评论(0打开APP查看全部 >
精品课程

2026年外科主治课程

报名/考试不过 按协议重学

1780

了解详情
热点推荐:
0
0
0
评论
取消
复制链接,粘贴给您的好友

复制链接,在微信、QQ等聊天窗口即可将此信息分享给朋友
前往医学教育网APP查看,体验更佳!
取消 前往
您有一次专属抽奖机会
可优惠~
领取
优惠
注:具体优惠金额根据商品价格进行计算
恭喜您获得张优惠券!
去选课
已存入账户 可在【我的优惠券】中查看