白细胞的生理是什么?这个知识点是生理学的重要内容,为常考点,也是2022年西医综合考研考试中需要掌握的内容,为了帮助各位考生更加顺利的复习考试,医学教育网小编整理如下内容,希望对大家有所帮助。
(一)白细胞的分类与数量
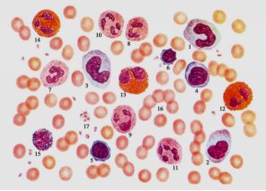
正常白细胞数为(4.0~10.0)×109/L
粒细胞
中性粒细细胞50%~70%图中7~11
嗜酸性粒细胞0.5%~5%图中12~14
嗜碱性粒细胞0%~1%图中15
单核细胞3%~8%图中1~3
淋巴细胞20%~40%图中4~6

(二)白细胞的生理特性和功能
1.白细胞的生理特性
(1)渗出:除淋巴细胞外,所有的白细胞都能伸出伪足作变形运动,凭借这种运动,白细胞得以穿过毛细血管壁,这一过程称为白细胞渗出
(2)趋化:
白细胞朝向某些化学物质运动的特性,称为趋化性
趋化因子:能吸引白细胞发生定向运动的化学物质
(3)吞噬:吞噬细胞
(4)分泌
以上就是“22西医综合考研考点精讲:白细胞的生理”的相关内容了,还有更多关于2021年西医综合考研的政策动态、知识点汇总及备考经验都在医学教育网,助力你的2021年西医综合考研备考!
〖医学教育网版权所有,转载务必注明出处,违者将追究法律责任〗