临床医学检验职称

考试动态
复习指导
互动交流

浆细胞白血病的骨髓象是什么呢

浆细胞白血病的骨髓象是什么呢?跟着小编来学习一下吧!

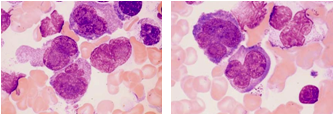
骨髓象 骨髓增生极度活跃或明显活跃,各阶段异常浆细胞明显增生,包括原浆细胞、幼浆细胞、小型浆细胞和网状细胞样浆细胞。

浆细胞成熟程度和形态极不一致,形态一般较小,呈圆形或卵圆形,胞核较幼稚,核仁明显,核染色质稀疏,核质发育不平衡。

1211

PCL骨髓象,可见形态各异的异常浆细胞

以上是小编为大家整理的内容,希望对大家有所帮助,更多关于临床检验技师的资讯请关注医学教育网! 

正保医学教育网
上医学教育网 做成功医学人
打开APP
全部评论(0打开APP查看全部 >
精品课程

检验职称无忧实验班

报名/考试不过 按协议重学

1480

查看详情
热点推荐:
0
0
0
评论
取消
复制链接,粘贴给您的好友

复制链接,在微信、QQ等聊天窗口即可将此信息分享给朋友
前往医学教育网APP查看,体验更佳!
取消 前往
您有一次专属抽奖机会
可优惠~
领取
优惠
注:具体优惠金额根据商品价格进行计算
恭喜您获得张优惠券!
去选课
已存入账户 可在【我的优惠券】中查看