临床执业医师

考试动态
复习指导

总结归纳!全国临床执业医师实践技能考试真实考试得分点!

关于“全国临床执业医师实践技能考试真实考试得分点”的内容,相信很多临床执业医师考生都很关注,为了帮助广大临床执业医师考生顺利复习备考,医学教育网老师特整理了具体的知识点,详情如下:

一、病史采集

简要病史:男性,73岁。头痛20年,夜间憋气2天急诊就诊。既往患有“高血压”20年,间断服药治疗。

要求:你作为住院医师,请围绕以上简要病史,将应该询问患者的现病史及相关病史的内容写在答疑纸上。

评分标准(总分15分)

(一)现病史(10分)

1.根据主诉及相关鉴别询问(7分)

(1)发病诱因:有无劳累、受凉、精神紧张及睡眠障碍。(1分)

(2)头痛:部位、性质、程度,出现的缓急及持续时间,与血压的关系,加重或缓解因素。(2分)

(3)呼吸困难:程度,发病缓急,是吸气性还是呼气性,加重或缓解因素(与活动及体位的关系)。(2分)

(4)伴随症状:有无咳嗽、咯血、咳粉红色泡沫痰,有无乏力、头晕、意识改变及肢体活动障碍。(1.5分)有无心悸、胸痛,有无双下肢水肿。(0.5分)

2.诊疗经过(2分)

(1)是否曾到医院就诊,做过哪些检查:心电图、胸部X线片、肝肾功能。(1分)

(2)治疗情况:是否用过降压药物治疗,疗效如何。(1分)

3.一般情况

发病以来饮食、睡眠、大小便及体重变化情况。(1分)

(二)其他相关病史(3分)

1.有无药物过敏史。(0.5分)

2.高血压诊治情况,有无高钠盐饮食。(0.5分)

3.与该病有关的其他病史:有无慢性肺部疾病、心脏病病史,有无慢性肾病糖尿病病史,有无烟酒嗜好,有无高血压家族史。(2分)

(三)问诊技巧(2分)

1.条理性强,能抓住重点。(1分)

2.能够围绕病情询问。(1分)

二、病例分析

女性,29岁。间断喘息伴咳嗽、咳痰3年,再发2天。

患者3年来在气候变化时间段发作喘息、咳嗽,咳少许白色黏痰。无发热,盗汗,无咯血,无胸痛、心悸。喘息发作时在当地诊所按“上呼吸道感染”治疗。症状可缓解。每年发作次数不定,缓解期间无明显不适症状。2天前受凉后再次发作,伴咳嗽,无咳痰,轻微活动即感胸闷、气促,夜间症状严重,高枕卧位。发病以来精神、食欲、睡眠差,大小便正常,体重无明显变化。否认过敏性疾病病史。无烟酒嗜好。否认遗传病家族史。

查体:T 36.8℃,P 96次/分,R 20次/分,BP 116/70mmHg。坐位,喘息状,表情焦虑,精神差。皮肤潮湿。口唇无发绀。全身浅表淋巴结未触及。胸廓无畸形,双侧触觉震颤减弱,双肺叩诊过清音,可闻及呼气相哮鸣音,未闻及湿性罗音和胸膜摩擦音。心界不大,心率96次/分,律齐,各瓣膜听诊区未闻杂音。双下肢无水肿。实验室检查:动脉血气分析:pH 7.45,PaO2 70mmHg,PaCO2 35mmHg,HCO3- 23mmol/L,SaO2 91%。

要求:根据以上病历摘要,请将初步诊断、诊断依据(如有两个或以上诊断,应分别列出各自诊断依据)、鉴别诊断、进一步检查与治疗原则写着答题纸上。

评分标准(总分22分)

一、初步诊断(3分)

支气管哮喘急性发作期(仅答“支气管哮喘”或“哮喘”得2分)(3分)

二、诊断依据(初步诊断错误,诊断依据不得分)(4分)

1.青年女性,反复发作性喘息咳嗽、咳痰,再发作胸闷、气促2天。(1分)

2.症状发作与气候变化,受凉有关。缓解期无不适应症状。(1分)

3.查体:喘息状,双肺闻及呼气相哮鸣音。(2分)

三、鉴别诊断(4分)

1.急性左心衰竭(1.5分)

2.慢性阻塞性肺疾病(1分)

3.变态反应性肺浸润(1分)

4.支气管结核或气管异物(0.5分)

四、进一步检查(5分)

1.血常规(嗜酸性粒细胞计数+百分比)。(0.5分)

2.心电图,必要时超声心动图。(0.5分)

3.胸部X线片。(0.5分)

4.肺功能检查(支气管舒张实验)。(2.5分)

5.皮肤变应原检测(病情控制后)。(0.5分)

6.纤维支气管镜(必要时)。(0.5分)

五、治疗原则(6分)

1.休息、吸氧,脱离变应原。(1分)

2.支气管舒张剂+静脉或口服糖皮质激素缓解症状。(2分)

3.病情稳定后规律使用吸入糖皮质激素+支气管舒张剂。(2分)

4.必要时机械通气治疗。(0.5分)

5.哮喘的健康教育与管理。(0.5分)

三、辅助检查

心电图

试题1:男,40岁。突发心悸伴胸闷2小时。最可能的心电图诊断是(4分)

A.阵发性室上性心动过速

B.左心室肥厚

C.急性心肌梗死

D.心房颤动

E.窦性心动过速

心电图1

答案:A

试题2:男,26岁。在参加马拉松比赛,突然意识丧失5分钟。最可能的心电图诊断是(4分)

A.窦性心动过缓

B.室性期前收缩

C.心房颤动

D.心室颤动

E.窦性心动过速

答案:D

心电图2

影像学

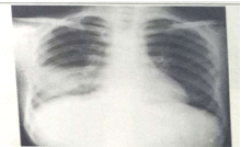
试题1:男性,26岁,受凉后寒颤高热,咳嗽,咳铁锈色痰5天(2分)

A.肺癌

B.气胸

C.正常胸片

D.肺炎

E.胸腔积液

答案:D

影像学1

试题2:男,44岁。头部外伤12小时。结合CT片,此诊断为(2分)

A.硬膜下血肿

B.脑出血

C.硬膜外血肿

D.颅骨骨折

E.脑血栓

答案:C

影像学2

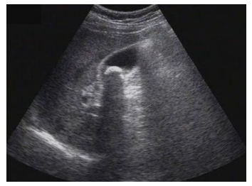
试题3:患者女性,50岁,间断上腹隐痛半年,诊断为(2分)

A.肝癌          

B.肝硬化           

C.胆囊结石

D.肾结石       

E.急性胆囊炎

【答案】C 

影像学3

心肺听诊

试题1:请指出圆圈所画部位为何瓣膜听诊区(3分)

A.肺动脉瓣区

B.主动脉瓣区

C.主动脉瓣第二听诊区

D.二尖瓣区

E.三尖瓣区 

答案:D

听诊1

试题2:请指出圆圈所画部位为何听诊区(4分)

A.肺动脉瓣区

B.二尖瓣区 

C.三尖瓣区 

D.主动脉瓣第二听诊区

E.主动脉瓣区

答案:A

听诊2

四、体格检查

2021年临床执业医师实践技能模考密卷第一套——体格检查第一题

全国临床执业医师实践技能模考密卷第一套——体格检查第二题(心脏听诊检查)

2021年临床执业医师实践技能模考试卷第一套——体格检查第三题(测血压)

五、基本操作

经典例题

临床情景:患者,女性,24岁。10小时前被割伤左前臂(伤口长5cm,深达皮下组织,污染严重),前来急诊。

要求:请为患者(医学模拟人)行清创术。

评分标准(总分20分)(全过程中任何步骤违反无菌操作原则,一处扣2分)

1.戴帽子、口罩、无菌手套。(2分)

(1)戴帽子、口罩(头发、鼻孔不外露)。(1分)

(2)戴无菌手套。(1分)

2.伤口处理。(3分)

(1)用无菌纱布覆盖伤口,用肥皂水刷洗伤口周围皮肤,然后用生理盐水冲洗3次。(1分)

(2)移去伤口纱布,3%双氧水及生理盐水反复冲洗清洗伤口,初步检查伤口。检查伤口时,应向考官口述以下内容:①需要观察伤口内有无血凝块及异物;②伤口的深度;③有无合并神经、血管、肌腱及骨骼损伤;④伤口有无活动性出血,若合并出血时应予以止血,若创面有大量出血时,可使用止血带止血。(2分)

3.清创(13分)

(1)上述伤口初步检查完成后,需要脱掉之前的手套,洗手、并对双手臂做消毒处理(口述)。(2分)

(2)消毒双手后,以无菌持物钳夹取碘伏棉球,消毒伤口周围皮肤,一般消毒3遍;注意,勿使消毒液流入伤口内,然后铺盖无菌洞巾。(2分)

(3)此时,术者再次戴无菌手套。(2分)

(4)用2%利多卡因沿伤口行局部浸润麻醉。(2分)

(5)局部麻醉后,清理伤口,用手术剪刀清除伤口周围不整齐的皮肤边缘1~2mm,失去活力呈灰白色或不出血呈紫色的皮肤应予以去除。若切口过小,应扩大切口充分暴露。一般从伤口两端沿纵轴延长,有时需根据功能和外观选择延长切口的方向,尽量取净伤口内的异物,剪除伤口内失去活力的组织(2分),由浅入深仔细清除,凡夹捏不收缩,切开不出血或无颜色改变的肌肉组织,都要彻底清除。伤口彻底清理后,再次使用生理盐水及3%过氧化氢冲洗伤口(1分)。

(6)缝合伤口,凡伤后6~8小时以内,污染较轻的伤口,应行一期伤口缝合,缝合时由深层向浅层按局部的解剖层次进行缝合,缝合过程中应注意掌握“垂直进针,沿针形弧度挽出”的原则,避免遗留无效腔,防止血肿的形成;缝合时松紧度要适宜,以免影响局部血运。伤口表浅,止血良好,缝合后没有无效腔的“清洁伤口”一般不必放置引流物,若伤口较深,损伤范围较大的污染伤口,应放置引流物。(1分)

(7)清创后伤口处理:用消毒棉球将伤口周围皮肤消毒后,无菌纱布或棉垫覆盖伤口,胶布固定。(1分)

——注意粘贴胶布的方向(与身体长轴垂直)

4.职业素质(2分)

(1)操作前能以和蔼的态度告知患者操作的目的,取得患者的配合。关注患者的疼痛程度,并给予适当的处理,消除焦虑紧张情绪。操作时动作要轻柔规范,体现爱护患者的意识。操作结束后告知患者相关注意事项。(1分)

(2)着装整洁,仪表端庄,举止大方,语言文明,认真细致,表现出良好的职业素质。(1分)

以上关于“总结归纳!全国临床执业医师实践技能考试真实考试得分点!”的文章由医学教育网编辑整理搜集,更多的文章随时关注医学教育网临床执业医师考试辅导精华栏目!

〖医学教育网整理,转载务必注明出处,违者将追究法律责任〗

正保医学教育网
上医学教育网 做成功医学人
打开APP
全部评论(0打开APP查看全部 >
精品课程

高效定制班

直播+录播 含班级服务

4180

详情>>
热点推荐:
0
0
0
评论
取消
复制链接,粘贴给您的好友

复制链接,在微信、QQ等聊天窗口即可将此信息分享给朋友
前往医学教育网APP查看,体验更佳!
取消 前往
您有一次专属抽奖机会
可优惠~
领取
优惠
注:具体优惠金额根据商品价格进行计算
恭喜您获得张优惠券!
去选课
已存入账户 可在【我的优惠券】中查看