临床执业医师

考试动态
复习指导

临床执业医师实践技能第三站考点-肺部疾病诊断(图)

医学教育网编辑为大家整理总结了临床执业医师实践技能第三站考点-肺部疾病诊断(图)的内容,希望可以帮助到大家:

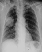
病史:女性,39岁,胸痛伴高热、咳嗽4天。诊断:
○右肺结核
○右上肺癌
○ 右侧肺炎
○正常胸片
气胸



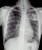
病史:男性,24岁,咳嗽无痰伴低热半月。诊断:
○左上肺炎
○左上支气管扩张
○左上浸润性肺结核
○正常胸片
○左侧胸腔积液



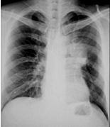
病史:男性,65岁,咳嗽痰中带血3个月。诊断:
○ 右下肺炎
○ 右下包裹性积液
○正常胸片
○ 右下肺结核
○ 右肺癌



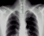
病史:男性,58岁,咳嗽痰中带血3个月。诊断:
○ 左肺中心型肺癌
○ 左肺周围型肺癌
○ 左肺肺结核
○ 左肺肺不张
○ 左侧胸腔积液

编辑推荐:

【复习指导】2020年临床执业医师复习总攻略(附大纲教材)

【报名攻略】2020年临床执业医师网上报名∣现场审核攻略

【0元视频】2020年临床执业医师0元精选视频课程 限时领取

【考试变化】2020临床执业医师实行机考,考生将有这些变化

以上关于“临床执业医师实践技能第三站考点-肺部疾病诊断(图)”的问题由医学教育网编辑整理搜集,希望可以帮助到大家,更多的文章随时关注医学教育网临床执业医师实践技能辅导精华栏目!

〖医学教育网版权所有,转载必究〗

正保医学教育网
上医学教育网 做成功医学人
打开APP
全部评论(0打开APP查看全部 >
精品课程

高效定制班

直播+录播 含班级服务

4180

详情>>
热点推荐:
0
0
0
评论
取消
复制链接,粘贴给您的好友

复制链接,在微信、QQ等聊天窗口即可将此信息分享给朋友
前往医学教育网APP查看,体验更佳!
取消 前往
您有一次专属抽奖机会
可优惠~
领取
优惠
注:具体优惠金额根据商品价格进行计算
恭喜您获得张优惠券!
去选课
已存入账户 可在【我的优惠券】中查看