临床执业医师

考试动态
复习指导

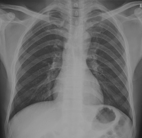
2020年临床执业医师实践技能第一站试题正常胸片(图)

关于“2020年临床执业医师实践技能第一站试题正常胸片(图)”的内容,相信参加国家临床执业医师考试的考生都在关注,医学教育网编辑为大家整理如下:

试题:根据下图请做出正确诊断

A.正常胸片

B.肺门淋巴结肿大

C.肺炎

D.主动脉型心(靴型心)

正常胸片

正常胸片

编辑推荐:

临床执业医师实践技能考试第一站影像题——右测肺炎的胸片

2020年临床执业医师实践技能影响诊断试题练习(风湿性心脏病)

临床执业医师实践技能考试第一站心脏听诊音速记口诀!收藏!

2020年临床执业医师实践技能辅助检查1号练习题肺部听诊(图文)

临床执业医师实践技能第一站心电图模模拟试题练习(正常心电图)

以上关于“2020年临床执业医师实践技能第一站试题正常胸片(图)”的文章由医学教育网编辑整理搜集,希望可以帮助到大家,更多的文章随时关注医学教育网临床执业医师辅导精华栏目!

〖医学教育网版权所有,转载务必注明出处,违者将追究法律责任〗

正保医学教育网
上医学教育网 做成功医学人
打开APP
全部评论(0打开APP查看全部 >
精品课程

高效定制班

直播+录播 含班级服务

4180

详情>>
热点推荐:
0
0
0
评论
取消
复制链接,粘贴给您的好友

复制链接,在微信、QQ等聊天窗口即可将此信息分享给朋友
前往医学教育网APP查看,体验更佳!
取消 前往
您有一次专属抽奖机会
可优惠~
领取
优惠
注:具体优惠金额根据商品价格进行计算
恭喜您获得张优惠券!
去选课
已存入账户 可在【我的优惠券】中查看