临床执业医师

考试动态
复习指导

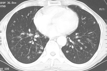
2020年临床执业医师实践技能第一站考点:肺转移癌的ct片成像

关于“2020年临床执业医师实践技能第一站考点:肺转移癌的ct片成像”,相信很多考生都在关注,医学教育网编辑为大家整理了具体的知识点,供大家参考学习:

男性,55岁,结肠癌术后2年。(本题满分2.00分)

肺癌

A.大叶性肺炎

B.浸润性肺结核

C.原发性肺癌

D.肺转移癌

【隐藏答案】

本题答案:D

题目解析:【该题针对“CT-肺癌”知识点进行考核】

编辑推荐:

必看!2020年临床执业医师实践技能考前准备∣考场经验∣应试技巧!

考前必练!临床执业医师实践技能考试实战模考5套卷37道试题!

临床执业医师实践技能考试体格检查+基本操作考点串讲36个!

临床执业医师实践技能189个疾病病例分析诊断公式+25道试题



以上关于“2020年临床执业医师实践技能第一站考点:肺转移癌的ct片成像”的文章由医学教育网编辑整理搜集,希望可以帮助到大家,更多的文章随时关注医学教育网临床执业医师辅导精华栏目!

〖医学教育网版权所有,转载务必注明出处,违者将追究法律责任〗

正保医学教育网
上医学教育网 做成功医学人
打开APP
全部评论(0打开APP查看全部 >
精品课程

高效定制班

直播+录播 含班级服务

4180

详情>>
0
0
0
评论
取消
复制链接,粘贴给您的好友

复制链接,在微信、QQ等聊天窗口即可将此信息分享给朋友
前往医学教育网APP查看,体验更佳!
取消 前往
您有一次专属抽奖机会
可优惠~
领取
优惠
注:具体优惠金额根据商品价格进行计算
恭喜您获得张优惠券!
去选课
已存入账户 可在【我的优惠券】中查看