临床执业医师

考试动态
复习指导

2021年临床执业医师实践技能考试多媒体考试样题16道

为了帮助广大2021年临床执业医师资格考试的考生复习备考,医学教育网老师特为大家整理总结了“实践技能考试多媒体考试样题16道”供各位考生参考学习,具体的内容如下:

急性

【答案】C

心室颤动

【答案】D

心电图

【答案】A

正常胸片

【答案】C肺炎

【答案】D

普大型心

【答案】B

腹

【答案】B

肠梗阻

【答案】C

肾结石

【答案】B


食管静脉曲张

【答案】D


上腹部隐痛

【答案】C


结肠癌

【答案】C

男性,55岁,上腹隐痛约十年,请做出正确诊断

A.胃癌

B.胃溃疡

C.十二指肠溃疡

D.食管癌

E.胃憩室

男性,55岁,上腹隐痛约十年,请做出正确诊断

【答案】B

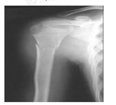
男,45岁,摔伤40分钟,诊断为

A.右尺骨骨折

B.右桡骨骨折

C.右肱骨骨折

D.左肱骨骨折

E.右肱骨骨质疏松

【答案】C

男,45岁,摔伤40分钟,诊断为

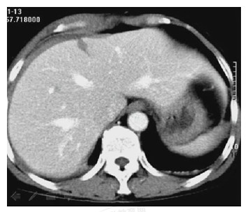
患者,女性,20岁。胸腹部被车撞伤5小时。诊断为

A.肝破裂

B.脾破裂

C.肝脾破裂

D.肝肾挫裂伤

E.肾损伤

【答案】A

患者,女性,20岁。胸腹部被车撞伤5小时。诊断为

男55岁,左侧肢体偏瘫4小时,有高血压史,诊断为

A.急性硬膜下血肿

B.急性硬膜外血肿

C.颅骨骨折

D.急性脑梗死

E.急性脑出血

【答案】E

男55岁,左侧肢体偏瘫4小时,有高血压史,诊断为

编辑推荐:

2021年临床执业医师技能稳过的方法!只有这一个

打卡挑战!2021临床执业医师考生刷题计划第三阶段已开启!

2021年临床执业医师传染病科目必考知识点和考评指数

2021年临床执业医师实践技能+医学综合出题方向大预测!

热议!仅30%医学毕业生拿到执业资格证,引发的行业思考!

以上就是医学教育网编辑为大家整理总结的“2021年临床执业医师实践技能考试多媒体考试样题16道”全部内容了,希望可以帮助到大家,更多的文章随时关注医学教育网临床执业医师技能辅导精华栏目!

〖医学教育网原创,转载务必注明出处,违者将追究法律责任〗

正保医学教育网
上医学教育网 做成功医学人
打开APP
全部评论(0打开APP查看全部 >
精品课程

高效定制班

直播+录播 含班级服务

4180

详情>>
热点推荐:
0
0
0
评论
取消
复制链接,粘贴给您的好友

复制链接,在微信、QQ等聊天窗口即可将此信息分享给朋友
前往医学教育网APP查看,体验更佳!
取消 前往
您有一次专属抽奖机会
可优惠~
领取
优惠
注:具体优惠金额根据商品价格进行计算
恭喜您获得张优惠券!
去选课
已存入账户 可在【我的优惠券】中查看