临床执业医师

考试动态
复习指导

大量气胸和中央型肺癌/浸润性肺结核和大叶性肺炎的鉴别要点

关于“大量气胸和中央型肺癌/浸润性肺结核和大叶性肺炎的鉴别要点”的内容,相信很多考生都很关注,医学教育网编辑为大家整理总结了具体的知识点,详情如下:

疾病大量气胸中央型肺癌
鉴别点无肺纹理存在肺纹理
疾病浸润性肺结核大叶性肺炎
鉴别点云絮状、密度不均匀,可有结节影或双肺同时发病致密、均匀、大片影、常单侧发病

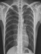
病史:男性,65岁,活动后胸闷6个月。既往高血压病史15年。诊断:
○ 靴型心
○ 梨形心
○ 普大型心脏
○ 正常心脏
○ 以上均不是

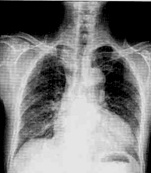
病史:男性,65岁,突感胸闷气促1小时。诊断:
○ 右侧气胸
○ 右侧大叶性肺炎
○ 右侧胸腔积液
肺结核
○ 右侧肺癌

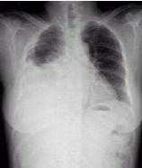
病史:女性,76岁,胸闷伴呼吸困难6天,不能平卧1天。诊断:
○右侧胸腔积液
○右下肺不张
○右下胸膜肥厚
○大叶肺炎
气胸

编辑推荐:

21年临床执业医师实践技能考生必收藏:13大系统100个疾病诊断公式

抢先看!2021年临床执业医师实践技能考试基地安排,提前知晓考试地点!

实战练习√临床执业医师实践技能病例分析历年考试还原考点练习题汇总25道&评分细则

妥了!因为它病史采集拿下满分,临床执业医师考生快查收经典习题汇总!

实践技能模拟试题

以上关于“大量气胸和中央型肺癌/浸润性肺结核和大叶性肺炎的鉴别要点”的文章由医学教育网编辑整理搜集,更多的文章随时关注医学教育网临床执业医师实践技能辅导精华栏目!

〖医学教育网版权所有,转载务必注明出处,违者将追究法律责任〗

正保医学教育网
上医学教育网 做成功医学人
打开APP
全部评论(0打开APP查看全部 >
精品课程

高效定制班

直播+录播 含班级服务

4180

详情>>
热点推荐:
0
0
0
评论
取消
复制链接,粘贴给您的好友

复制链接,在微信、QQ等聊天窗口即可将此信息分享给朋友
前往医学教育网APP查看,体验更佳!
取消 前往
您有一次专属抽奖机会
可优惠~
领取
优惠
注:具体优惠金额根据商品价格进行计算
恭喜您获得张优惠券!
去选课
已存入账户 可在【我的优惠券】中查看