下载APP
中西医执业医师
首页
>
中西医执业医师
>
辅导精华
第二站中医操作(三):中脘、公孙隔姜灸定位
2022-12-02
第二站中医操作(二):大肠俞、阴陵泉定位
2022-12-02
第二站中医操作(一):脉诊
2022-12-02
病例分析模拟题:咳嗽邪犯肺卫证!
2022-12-02
病例分析模拟题:寒湿痹阻证!患者1年前出现右侧臀部胀痛,无腰痛及放射痛
2022-12-02
病例分析模拟题:痹证!李某,女,32岁,职工。2022年5月29日来诊。
2022-12-02
病例分析模拟题:心悸!患者,女,40 岁,职员。2022年 2 月 18 日初诊。
2022-12-02
病例分析模拟题:张某,男,60 岁,已婚,工人。2022 年 4 月 10 日初诊
2022-12-02
2022年中西医实践技能病例分析【儿科疾病】练习题:水痘
2022-06-08
2022年中西医实践技能病例分析【儿科疾病】练习题:过敏性紫癜(紫斑)
2022-06-08
2022年中西医实践技能病例分析【儿科疾病】练习题:急性肾小球肾炎(水肿)
2022-06-08
2022年中西医实践技能病例分析【儿科疾病】练习题:小儿腹泻病(小儿泄泻)
2022-06-08
2022年中西医实践技能病例分析【儿科疾病】练习题:小儿肺炎(肺炎喘嗽)
2022-06-08
2022年中西医执业医师实践技能【西医临床答辩】04号题:试述典型心绞痛的五大症状特点
2022-05-23
2022年中西医执业医师实践技能【西医临床答辩】03号题:男,32岁,外周血白细胞11.9×10°/L,中性粒细胞78%,分析其临床意义
2022-05-23
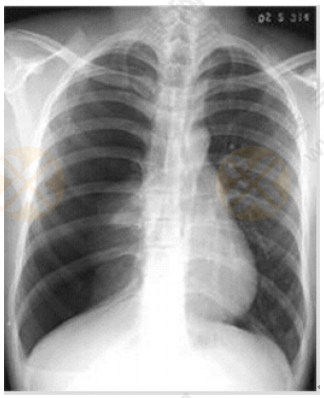
2022年中西医执业医师实践技能【西医临床答辩】02号题:根据下图所给X线片分析临床意义
2022-05-23
2022年中西医执业医师实践技能【西医临床答辩】01号题:根据下图所给心电图分析临床意义
2022-05-23
2022年中西医执业医师实践技能【西医操作】04号题:请演示气囊-面罩简易呼吸器的使用方法
2022-05-23
2022年中西医执业医师实践技能【西医操作】03号题:请演示颈椎损伤患者的急救搬运
2022-05-23
2022年中西医执业医师实践技能【西医操作】02号题:请演示进入感染区穿非一次性隔离衣的全过程
2022-05-23
2022年中西医执业医师实践技能【西医操作】01号题:请演示外科洗手的全过程
2022-05-23
2022年中西医执业医师实践技能【体格检查】03号题:请演示心脏浊音界的叩诊检查方法
2022-05-23
2022年中西医执业医师实践技能【体格检查】02号题:请演示语音震颤的检查方法
2022-05-23
2022年中西医执业医师实践技能【体格检查】01号题:请演示左颌下淋巴结的检查方法
2022-05-23
2022年中西医执业医师实践技能【中医临床答辩】04号题:试述带下气味异常的临床意义
2022-05-23
2022年中西医执业医师实践技能【中医临床答辩】03号题:试述偏头痛的针灸治疗
2022-05-23
2022年中西医执业医师实践技能【中医临床答辩】02号题:试述请回答阴陵泉、后溪的主治病证
2022-05-23
2022年中西医执业医师实践技能【中医临床答辩】01号题:试述咳血肝火犯肺证的主症、治法和用方
2022-05-23
2022年中西医执业医师实践技能【病史采集】04号题:男,37岁,司机,常年久坐,近一个月大便带血,便后有肿物脱出
2022-05-23
2022年中西医执业医师实践技能【病史采集】03号题:男,58岁,退休。消瘦1年,伴多食、多饮、多尿、乏力
2022-05-23
2022年中西医执业医师实践技能【病史采集】02号题:男,62岁,商人。头昏胀痛,口苦咽干就诊
2022-05-23
2022年中西医执业医师实践技能【病史采集】01号题:男,63岁,退休。三天前咳嗽、咽痛、咳吐黄痰
2022-05-23
2022年中西医执业医师实践技能【中医操作】06号题:试述天柱、肾俞穴定位,并演示小鱼际滚法的操作
2022-05-23
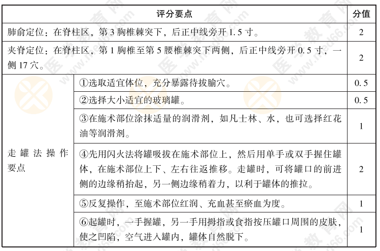
2022年中西医执业医师实践技能【中医操作】05号题:试述肺俞、夹脊穴定位,并演示走罐法的操作
2022-05-23
2022年中西医执业医师实践技能【中医操作】04号题:试述天枢、气海穴定位,并演示隔姜灸的操作
2022-05-23
2022年中西医执业医师实践技能【中医操作】03号题:试述三阴交、照海穴定位,并演示指切进针法
2022-05-23
2022年中西医执业医师实践技能【中医操作】02号题:诊查体检者舌象,叙述并演示操作方法
2022-05-23
2022年中西医执业医师实践技能【中医操作】01号题:诊查体检者脉象,叙述并演示操作方法
2022-05-23
中西医执业医师实践技能第一站【病案分析】10道题(含各站答题技巧)
2022-05-19
2022年中西医执业医师实践技能第一站【病例分析】练习题10号:小儿泄泻
2022-05-18
2022年中西医执业医师实践技能第一站【病例分析】练习题9号:崩漏
2022-05-18
2022年中西医执业医师实践技能第一站【病例分析】练习题8号:乳痈
2022-05-18
2022年中西医执业医师实践技能第一站【病例分析】练习题7号:中风
2022-05-18
2022年中西医执业医师实践技能第一站【病例分析】练习题6号:痹症
2022-05-18
2022年中西医执业医师实践技能第一站【病例分析】练习题5号:虚劳
2022-05-18
2022年中西医执业医师实践技能第一站【病例分析】练习题4号:关格
2022-05-18
2022年中西医执业医师实践技能第一站【病例分析】练习题3号:胃脘痛
2022-05-18
2022年中西医执业医师实践技能第一站【病例分析】练习题2号:胸痹
2022-05-18
2022年中西医执业医师实践技能第一站【病例分析】练习题1号:肺胀
2022-05-18
2022年中西医实践技能病例分析【妇产科疾病】练习题:子宫肌瘤(癥瘕)
2022-05-16
加载更多
第5页
第6页
第7页
第8页
第9页
第10页
正保医学教育网客户端
免费下载
选课
试听
招生方案
直播
资料
404 Not Found
404 Not Found
nginx