临床执业医师

考试动态
复习指导

2021年临床执业医师实践技能考试——X线平片影像诊断心脏增大诊断公式

关于“2021年临床执业医师实践技能考试——X线平片影像诊断心脏增大诊断公式”的内容,相信很多2021年临床执业医师考生都很关心,医学教育网老师为大家整理总结如下:


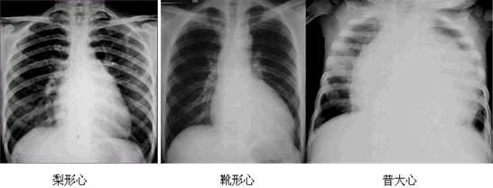
X线心界增大常见疾病
二尖瓣型梨形心左心房增大二尖瓣狭窄(最常见)
主动脉型靴形心左心室扩大法洛四联征、主动脉瓣膜疾病、高血压心脏病
普大型普大心心界向两侧扩大心肌病心脏病后期、心包积液等

可如何判断心脏的大小呢?

主要根据心胸比例

心胸比例=〔(A+B)/C〕<0.5

轻度增大=0.51~0.55

中度增大=0.56~0.60

重度增大>0.60

编辑推荐:

抢先看!2021年临床执业医师实践技能考试基地安排,提前知晓考试地点!

实战练习√临床执业医师实践技能病例分析历年考试还原考点练习题汇总25道&评分细则

妥了!因为它病史采集拿下满分,临床执业医师考生快查收经典习题汇总!

快参加!临床执业医师基础复习阶段模考大赛,精选1套卷600题!

2021临床执业医师技能直播班

以上关于“2021年临床执业医师实践技能考试——X线平片影像诊断心脏增大诊断公式”的文章由医学教育网编辑整理搜集,更多的文章随时关注医学教育网临床执业医师辅导精华栏目!

〖医学教育网版权所有,转载务必注明出处,违者将追究法律责任〗

正保医学教育网
上医学教育网 做成功医学人
打开APP
全部评论(0打开APP查看全部 >
精品课程

高效定制班

直播+录播 含班级服务

4180

详情>>
热点推荐:
0
0
0
评论
取消
复制链接,粘贴给您的好友

复制链接,在微信、QQ等聊天窗口即可将此信息分享给朋友
前往医学教育网APP查看,体验更佳!
取消 前往
您有一次专属抽奖机会
可优惠~
领取
优惠
注:具体优惠金额根据商品价格进行计算
恭喜您获得张优惠券!
去选课
已存入账户 可在【我的优惠券】中查看