临床执业医师

考试动态
复习指导

2021年临床执业医师实践技能X线平片影像诊断:8个胸片图

关于“2021年临床执业医师实践技能X线平片影像诊断:8个胸片图”的内容,相信很多考生都很关注,医学教育网编辑为大家整理总结了具体的知识点,详情如下:

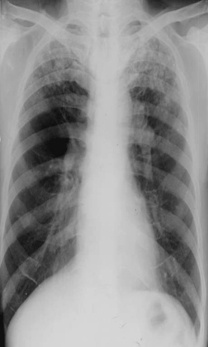
解题:箭头所指部分漆黑一片,根据公式得出气胸

解题:片中可见肋膈角消失,根据公式得出胸腔积液

图中可见肺门不规则肿块,根据公式诊断中央型肺癌

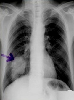
图中可见右下肺分叶状肿块,根据公式诊断周围型肺癌

满肺可见“满天星”,根据公式诊断肺转移瘤

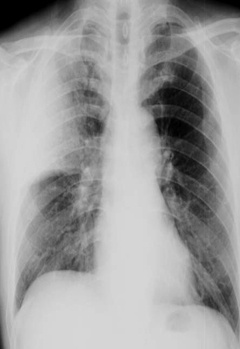
斑片状阴影位于双肺尖,根据公式诊断浸润性肺结核

图中可见右上叶“一片白”,根据公式诊断为右上叶大叶性肺炎

图中可见右上叶“斑点花”,根据公式诊断为小叶性肺炎

编辑推荐:

21年临床执业医师实践技能考生必收藏:13大系统100个疾病诊断公式

抢先看!2021年临床执业医师实践技能考试基地安排,提前知晓考试地点!

实战练习√临床执业医师实践技能病例分析历年考试还原考点练习题汇总25道&评分细则

妥了!因为它病史采集拿下满分,临床执业医师考生快查收经典习题汇总!

实践技能模拟试题

以上关于“2021年临床执业医师实践技能X线平片影像诊断:8个胸片图”的文章由医学教育网编辑整理搜集,更多的文章随时关注医学教育网临床执业医师实践技能辅导精华栏目!

〖医学教育网版权所有,转载务必注明出处,违者将追究法律责任〗

正保医学教育网
上医学教育网 做成功医学人
打开APP
全部评论(0打开APP查看全部 >
精品课程

高效定制班

直播+录播 含班级服务

4180

详情>>
热点推荐:
0
0
0
评论
取消
复制链接,粘贴给您的好友

复制链接,在微信、QQ等聊天窗口即可将此信息分享给朋友
前往医学教育网APP查看,体验更佳!
取消 前往
您有一次专属抽奖机会
可优惠~
领取
优惠
注:具体优惠金额根据商品价格进行计算
恭喜您获得张优惠券!
去选课
已存入账户 可在【我的优惠券】中查看