医师实践技能考试

考试动态
复习指导

临床执业医师实践技能考试-急性缺血性卒中病例分析模拟题(附解析)

Template comment not closed, line number is 3

临床执业医师实践技能考试-急性缺血性卒中病例分析模拟题(附解析)!相信大家都在关注,医学教育网编辑为大家整理了具体的模拟试题和解析,详情如下:

【汇总】临床执业医师考试实践技能「病例分析」模拟试题汇总

模拟题练习:男性,67岁。突发言语不利伴右侧肢体无力2小时。2小时前,患者于日常活动时突发右侧肢体无力,跌倒在地,伴言语含糊,尚能回答切题,无意识丧失、四肢抽搐、恶心、呕吐或大小便失禁。症状持续无好转就诊,高血压病史30年,最高血压150/110mmHg,未规律服药。“脑梗死”病史4年,未遗留肢体瘫痪。无糖尿病冠心病病史,无输血、手术、外伤史及药物食物过敏史。不吸烟,已戒酒5年。否认心脑血管病家族史。

查体:T36.8℃,P78次/分,R18次/分,BP130/80mmHg(左),140/90mmHg(右),嗜睡,构音不清,可回答简单问题。双侧额纹对称,右侧鼻唇沟浅,伸舌偏右。心肺腹查体未见明显异常。右侧上肢肌力近端3级、远端2级,右下肢肌力3级,左侧肢体肌力5级。肌张力正常,四肢腱反射存在,右侧病理成阳性,深浅感觉正常

实验室检查,血常规和凝血功能正常,随机血糖5.91mmol/L,血电解质正常,血甘油三酯3.09mmol/L、低密度脂蛋白3.2mmol/L、高密度脂蛋白0.96mmol/L。

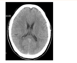
急诊心电图:未见明显异常。头颅CT:如图。

CT

一、初步诊断(4分)

1.急性缺血性卒中(或答“急性脑梗死”)。(3分)

2.高血压3级,很高危。(0.5分)

3.血脂异常。(0.5分)

二、诊断依据(初步诊断错误,诊断依据不得分。未分别列出各自诊断依据,扣1分)(4分)

1.急性缺血性卒中/急性脑梗死

(1)老年男性,有多种危险因素。(1分)

(2)急性起病,右侧中枢性面舌瘫、肢瘫。(1分)

(3)头颅CT未见明显异常,可排除脑出血。(0.5分)

2.高血压3级,很高危

(1)血压最高150/110mmHg。(0.5分)

(2)脑卒中病史。(0.5分)

3.血脂异常:血甘油三酯3.09mmol/L、低密度脂蛋白3.2mmol/L、高密度脂蛋白0.96mmol/L。(0.5分)

三、鉴别诊断(2分)

脑出血。(2分)

四、进一步检查(4分)

1.头颅MRI。(1分)

2.头颅血管检查:颈动脉超声、经颅多普勒超声、MRA或CTA或DSA等。(1.5分)

3.超声心动图,下肢动脉超声。(1分)

4.同型半胱氨酸、CRP。(0.5分)

五、治疗原则(8分)

1.血管再通治疗:rt-PA或血管内取栓治疗。(1分)

2.抗血小板治疗:阿司匹林、联合抗血小板治疗。(1分)

3.对症处理。(1分)

4.营养、吞咽、感染等管理。(1分)

5.康复评估和治疗。(1分)

6.及时启动二级预防:抗栓、调整血脂治疗。血压管理。(3分)

↓全程直播+赠技能特色班全套课程↓

pc信息顶部推荐:800.90

以上就是“临床执业医师实践技能考试-急性缺血性卒中病例分析模拟题(附解析)”的所有内容了,更多的考试资料随时关注医学教育网实践技能模拟试题栏目!

〖医学教育网版权所有,转载务必注明出处,违者将追究法律责任〗

正保医学教育网
上医学教育网 做成功医学人
打开APP
精品课程

高效定制班

直播+录播 含班级服务

4180

详情>>
热点推荐:
取消
复制链接,粘贴给您的好友

复制链接,在微信、QQ等聊天窗口即可将此信息分享给朋友
前往医学教育网APP查看,体验更佳!
取消 前往
您有一次专属抽奖机会
可优惠~
领取
优惠
注:具体优惠金额根据商品价格进行计算
恭喜您获得张优惠券!
去选课
已存入账户 可在【我的优惠券】中查看