Template comment not closed, line number is 3
关于“2021年临床执业医师实践技能考试多媒体考试样题16道”相关内容,相信参加医师实践技能考试的考生都在关注,为方便大家了解,在此医学教育网小编为大家整理如下:

【答案】C

【答案】D

【答案】A

【答案】C

【答案】D

【答案】B

【答案】B

【答案】C

【答案】B

【答案】D

【答案】C

【答案】C
男性,55岁,上腹隐痛约十年,请做出正确诊断
A.胃癌
B.胃溃疡
C.十二指肠溃疡
D.食管癌
E.胃憩室

【答案】B
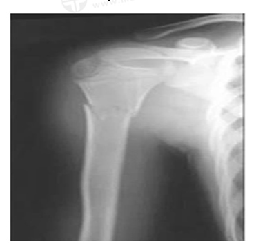
男,45岁,摔伤40分钟,诊断为
A.右尺骨骨折
B.右桡骨骨折
C.右肱骨骨折
D.左肱骨骨折
E.右肱骨骨质疏松
【答案】C

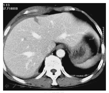
患者,女性,20岁。胸腹部被车撞伤5小时。诊断为
A.肝破裂
B.脾破裂
C.肝脾破裂
D.肝肾挫裂伤
E.肾损伤
【答案】A

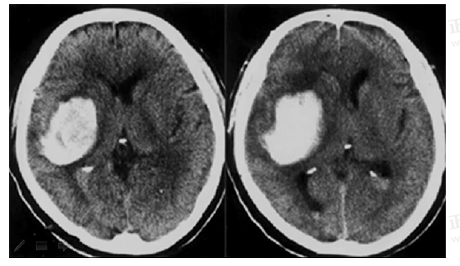
男55岁,左侧肢体偏瘫4小时,有高血压史,诊断为
A.急性硬膜下血肿
B.急性硬膜外血肿
C.颅骨骨折
D.急性脑梗死
E.急性脑出血
【答案】E

“2021年临床执业医师实践技能考试多媒体考试样题16道”的内容,由医学教育网编辑整理搜集,更多考试信息敬请关注医学教育网。