医师实践技能考试

考试动态
复习指导

大量气胸VS中央型肺癌——临床助理医师技能胸片模拟试题

Template comment not closed, line number is 3

关于“大量气胸VS中央型肺癌——临床助理医师技能胸片模拟试题”相关内容,相信参加医师实践技能考试的考生都在关注,为方便大家了解,在此医学教育网小编为大家整理如下:

疾病大量气胸中央型肺癌
鉴别点无肺纹理存在肺纹理
疾病浸润性肺结核大叶性肺炎
鉴别点云絮状、密度不均匀,可有结节影或双肺同时发病致密、均匀、大片影、常单侧发病

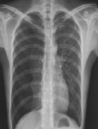
病史:男性,65岁,活动后胸闷6个月。既往高血压病史15年。诊断:
○ 靴型心
○ 梨形心
○ 普大型心脏
○ 正常心脏
○ 以上均不是

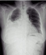
病史:男性,65岁,突感胸闷气促1小时。诊断:
○ 右侧气胸
○ 右侧大叶性肺炎
○ 右侧胸腔积液
○ 肺结核
○ 右侧肺癌

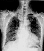
病史:女性,76岁,胸闷伴呼吸困难6天,不能平卧1天。诊断:
○右侧胸腔积液
○右下肺不张
○右下胸膜肥厚
○大叶肺炎
○气胸

推荐阅读:

2021年临床执业助理医师直达必刷模拟试卷购买入口

2021年临床助理医师无忧实验班含笔试、技能课程

4月刷题打卡——2021年临床助理医师考试医考爱打卡第三阶段刷题开启!

【面授公开课】专业师资汤以恒全国21个地区临床医师免费面授公开课4月开启!

“大量气胸VS中央型肺癌——临床助理医师技能胸片模拟试题”的内容,由医学教育网编辑整理搜集,更多考试信息敬请关注医学教育网。

正保医学教育网
上医学教育网 做成功医学人
打开APP
精品课程

高效定制班

直播+录播 含班级服务

4180

详情>>
热点推荐:
取消
复制链接,粘贴给您的好友

复制链接,在微信、QQ等聊天窗口即可将此信息分享给朋友
前往医学教育网APP查看,体验更佳!
取消 前往
您有一次专属抽奖机会
可优惠~
领取
优惠
注:具体优惠金额根据商品价格进行计算
恭喜您获得张优惠券!
去选课
已存入账户 可在【我的优惠券】中查看