Template comment not closed, line number is 3
关于“临床执业实践技能模拟习题:X线-心脏增大(二尖瓣型、主动脉型和普大型)”的内容,相信很多临床执业医师考生都在关注,医学教育网编辑为大家总结整理如下:
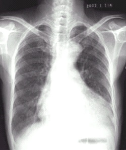
03卷-4.病史:女性,73岁,血压升高10年,心悸、头晕、乏力2周。诊断(本题满分2.00分)

A.梨形心
B.靴形心
C.普大型心脏
D.正常心脏
【隐藏答案】
本题答案:B
题目解析:【该题针对“X线-心脏增大(二尖瓣型、主动脉型和普大型)”知识点进行考核】
以上关于“临床执业实践技能模拟习题:X线-心脏增大(二尖瓣型、主动脉型和普大型)”的文章由医学教育网编辑整理搜集,更多的知识点随时关注医学教育网实践技能辅导精华栏目!
〖医学教育网版权所有,转载务必注明出处,违者将追究法律责任〗