Template comment not closed, line number is 3
2023年临床执业医师技能第一站:X线-肺炎影像诊断实战模考如下,2023年临床执业医师实践技能考试在即,医学教育网推出免费实践技能题库系统,本次医师实践技能模考题共计5套,每套内含医师实践技能全部站点考题。点击立即参与完整版试卷作答>>
查看汇总:2023年临床执业医师实践技能考试系统实战模考第一套卷
实践技能是考取医师资格证的首要环节,本系统为考生免费提供各考站模拟考题、各站分值,帮助考生夯实基础知识,熟悉技能考试,增强答题能力。下面是1号考试卷第一站考题。
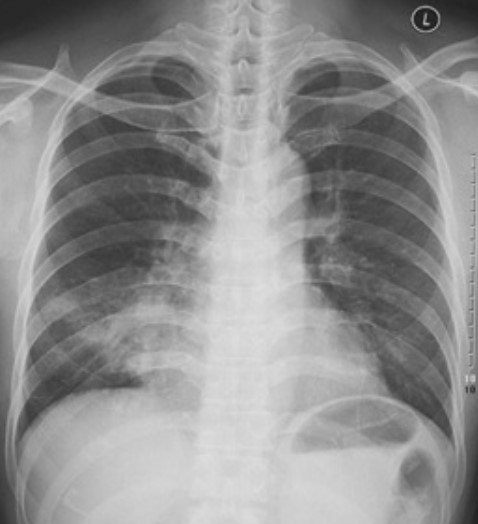
4.根据下图请做出正确诊断
(本题满分2.00分)
A.右侧肺炎
B.两下肺炎
C.右下肺肺癌
D.正常胸片
答案提示:【该题针对“ X线-肺炎 ”知识点进行考核】
【医学教育网原创,转载请注明出处!违者必究!】

温馨提示:本次免费医师实践技能模考题共计5套,每套内含医师实践技能全部站点考题。可帮助大家熟悉技能各站次考试题型及分值占比。
友情提示:购买临床执业医师无忧实验班、高效定制班均赠送价值480元的实践技能特色班,实践技能特色班包含实践技能测试卷,立即购课做题吧!

截图:高效定制班实践技能题库
立即查看高效定制班>>
以上分享的内容,由医学教育网小编搜集整理,如果您觉得对您有所帮助,可以分享给朋友。想了解更多医学考试信息、复习资料、备考干货请关注医学教育网。