基础医学理论
考试动态
栏目首页
考试大纲
报名条件
报名时间
考试时间
考试成绩
资格证书
准考证
复习指导
考试经验
首页
>
基础医学理论
>
心血管外科手术
> 正文
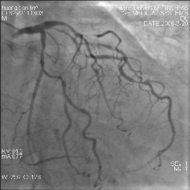
远端保护装置在急性心肌梗死中的应用(图)
医学教育网
2010-08-13
大号
远端保护装置在急性
心肌梗死
中的应用
展开阅读全文
正保医学教育网
上医学教育网 做成功医学人
打开APP
小编精选
[免费]2025医师资格考试大纲&教材变动汇总
[VIP]2026临床医师VIP特训营方案抢跑热招!
[资料]医师资格考试备考必背热门资料下载>
分享:
精品课程
高效定制班
直播+录播 含班级服务
¥
4180
详情>>
考生必看
考试介绍
考试科目
考试大纲
考试时间
报考条件
报名时间
报名方式
成绩查询
分数线
APP下载
正保医学教育网客户端
免费下载
选课
试听
招生方案
书店
资料
取消
复制链接,粘贴给您的好友
复制链接,在微信、QQ等聊天窗口即可将此信息分享给朋友
取消
复制链接
前往医学教育网APP查看,体验更佳!
取消
前往