医师实践技能考试

考试动态
复习指导

临床执业医师实践技能考试模拟题——影像学(6分)

Template comment not closed, line number is 3

关于“临床执业医师实践技能考试模拟题——影像学(6分)”,医学教育网编辑整理分享具体内容如下:

影像学

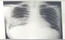
试题1:男性,26岁,受凉后寒颤高热,咳嗽,咳铁锈色痰5天(2分)

A.肺癌

B.气胸

C.正常胸片

D.肺炎

E.胸腔积液



答案:D

试题2:男,44岁。头部外伤12小时。结合CT片,此诊断为(2分)

A.硬膜下血肿

B.脑出血

C.硬膜外血肿

D.颅骨骨折

E.脑血栓



答案:C

试题3:患者女性,50岁,间断上腹隐痛半年,诊断为(2分)

A.肝癌        

B.肝硬化          

C.胆囊结石

D.肾结石      

E.急性胆囊炎



【答案】C

〖医学教育网版权所有,转载必究〗

【推荐】

【汇总】临床医师实践技能考试体格检查模拟试题归纳

【病例分析】女性,29岁。间断喘息伴咳嗽、咳痰3年,再发2天

临床执业医师实践技能-病史采集题:男性,73岁。头痛20年,夜间憋气2天急诊就诊

临床执业医师资格考试实践技能病例分析实战模拟题!

临床执业医师实践技能精选习题-骨髓穿刺术(20分)

移动性浊音-临床执业医师实践技能考试体格检查模考题

正保医学教育网
上医学教育网 做成功医学人
打开APP
精品课程

高效定制班

直播+录播 含班级服务

4180

详情>>
热点推荐:
取消
复制链接,粘贴给您的好友

复制链接,在微信、QQ等聊天窗口即可将此信息分享给朋友
前往医学教育网APP查看,体验更佳!
取消 前往
您有一次专属抽奖机会
可优惠~
领取
优惠
注:具体优惠金额根据商品价格进行计算
恭喜您获得张优惠券!
去选课
已存入账户 可在【我的优惠券】中查看