下载APP
中医助理医师
首页
>
中医助理医师
>
辅导精华
2023年中医助理医师实践技能第二站“中医操作-捻转补泻”易扣分点整理
2023-04-07
2023年中医助理医师实践技能第二站“中医操作-提插补泻”易扣分点整理
2023-04-07
2023年中医助理医师实践技能第二站“中医操作-提捏进针法”易扣分点整理
2023-04-07
2023年中医助理医师实践技能第二站“中医操作-夹持进针法”易扣分点整理
2023-04-07
2023年中医助理医师实践技能第二站“中医操作-指切进针法”易扣分点整理
2023-04-07
2023年中医助理医师实践技能第二站“中医操作-舒张进针法”易扣分点整理
2023-04-07
2023年中医助理医师实践技能第二站“中医操作-腧穴定位”易扣分点整理
2023-04-07
2023年中医助理医师实践技能第二站“中医操作-诊尺肤”易扣分点整理
2023-04-07
2023年中医助理医师实践技能第二站“中医操作-按虚里”易扣分点整理
2023-04-07
2023年中医助理医师实践技能第二站“中医操作-脉诊”易扣分点整理
2023-04-07
2023年中医助理医师实践技能第二站“中医操作-舌诊”易扣分点整理
2023-04-07
中医助理医师实践技能【西医临床答辩】04号题:试述慢性肺源性心脏病急性加重期的治疗原则
2022-05-23
中医医师实践技能【西医临床答辩】03号题:男,32岁,外周血白细胞11.9×10°/L,中性粒细胞78%,分析其临床意义
2022-05-23
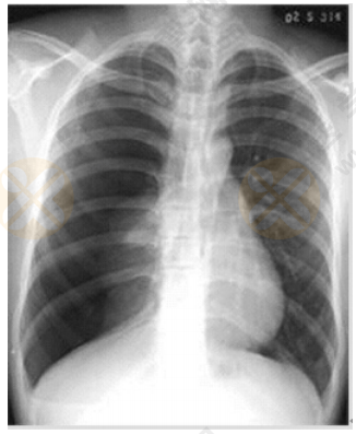
中医助理医师实践技能【西医临床答辩】02号题:根据下图所给X线片分析临床意义
2022-05-23
中医助理医师实践技能【西医临床答辩】01号题:根据下图所给心电图分析临床意义
2022-05-23
中医助理医师实践技能【西医操作】04号题:请演示气囊-面罩简易呼吸器的使用方法
2022-05-23
中医助理医师实践技能【西医操作】03号题:请演示颈椎损伤患者的急救搬运
2022-05-23
中医助理医师实践技能【西医操作】02号题:请演示进入感染区穿非一次性隔离衣的全过程
2022-05-23
中医助理医师实践技能【西医操作】01号题:请演示外科洗手的全过程
2022-05-23
中医助理医师实践技能【体格检查】04号题:请演示肝脏的单手触诊检查方法
2022-05-23
中医助理医师实践技能【体格检查】03号题:请演示心脏浊音界的叩诊检查方法
2022-05-23
中医助理医师实践技能【体格检查】02号题:请演示语音震颤的检查方法
2022-05-23
中医助理医师实践技能【体格检查】01号题:请演示左颌下淋巴结的检查方法
2022-05-23
中医助理医师实践技能【中医临床答辩】04号题:试述带下气味异常的临床意义
2022-05-23
中医助理医师实践技能【中医临床答辩】03号题:试述偏头痛的针灸治疗
2022-05-23
中医助理医师实践技能【中医临床答辩】02号题:试述请回答阴陵泉、后溪的主治病证
2022-05-23
中医助理医师实践技能【中医临床答辩】01号题:试述咳血肝火犯肺证的主症、治法和用方
2022-05-23
中医助理医师实践技能【病史采集】04号题:男,37岁,司机,常年久坐,近一个月大便带血,便后有肿物脱出
2022-05-23
中医助理医师实践技能【病史采集】03号题:男,58岁,退休。消瘦1年,伴多食、多饮、多尿、乏力
2022-05-23
中医助理医师实践技能【病史采集】02号题:男,62岁,商人。头昏胀痛,口苦咽干就诊
2022-05-23
中医助理医师实践技能【病史采集】01号题:男,63岁,退休。三天前咳嗽、咽痛、咳吐黄痰
2022-05-23
中医助理医师实践技能【中医操作】06号题:试述天柱、肾俞穴定位,并演示小鱼际滚法的操作
2022-05-23
中医助理医师实践技能【中医操作】05号题:试述肺俞、夹脊穴定位,并演示走罐法的操作
2022-05-23
中医助理医师实践技能【中医操作】04号题:试述天枢、气海穴定位,并演示隔姜灸的操作
2022-05-23
中医助理医师实践技能【中医操作】03号题:试述三阴交、照海穴定位,并演示指切进针法
2022-05-23
中医助理医师实践技能【中医操作】02号题:诊查体检者舌象,叙述并演示操作方法
2022-05-23
中医助理医师实践技能【中医操作】01号题:诊查体检者脉象,叙述并演示操作方法
2022-05-23
中医执业助理医师实践技能第一站【病案分析】10道题(评分要点与分值)
2022-05-19
2022年中医助理医师实践技能第一站【病例分析】练习题10号:小儿泄泻
2022-05-18
2022年中医助理医师实践技能第一站【病例分析】练习题9号:崩漏
2022-05-18
2022年中医助理医师实践技能第一站【病例分析】练习题8号:乳癖
2022-05-18
2022年中医助理医师实践技能第一站【病例分析】练习题7号:消渴
2022-05-18
2022年中医助理医师实践技能第一站【病例分析】练习题6号:淋证
2022-05-18
2022年中医助理医师实践技能第一站【病例分析】练习题5号:头痛
2022-05-18
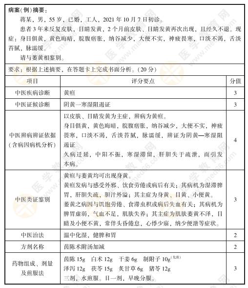
2022年中医助理医师实践技能第一站【病例分析】练习题4号:黄疸
2022-05-18
2022年中医助理医师实践技能第一站【病例分析】练习题3号:腹痛
2022-05-18
2022年中医助理医师实践技能第一站【病例分析】练习题2号:心悸
2022-05-18
2022年中医助理医师实践技能第一站【病例分析】练习题1号:感冒
2022-05-18
2022年中医助理医师实践技能第一站病案分析“儿科疾病:紫癜”练习题
2022-05-15
2022年中医助理医师实践技能第一站病案分析“儿科疾病:丹痧”练习题
2022-05-15
加载更多
第5页
第6页
第7页
第8页
第9页
第10页
正保医学教育网客户端
免费下载
选课
试听
招生方案
直播
免费资料
404 Not Found
404 Not Found
nginx